วิธีทางเลือกทดแทนการทดลองในสัตว์ (Alternatives to animal testing)
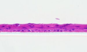
The European Centre for the Validation of Alternative Methods (ECVAM) เป็นองค์กรกลางของสหภาพยุโรป ทำหน้าที่ประเมินและตรวจสอบความใช้ได้ของวิธีทางเลือกทดแทนการใช้สัตว์ทดลอง ปัจจุบันมีวิธีทดสอบทดแทนการใช้สัตว์ทดลอง (Alternative methods) ที่ได้รับการรับรองและได้รับการบรรจุเข้าใน test guideline (TG) ของ Organization for Economic Co-operation and Development (OECD) สำหรับการทดสอบความปลอดภัยด้านต่างๆ ได้แก่ การใช้แบบจำลองผิวหนังชั้นนอกในการทดสอบฤทธิ์กัดกร่อนผิวหนัง (OECD TG 431) และการระคายเคืองต่อผิวหนัง (OECD TG 439) และการใช้แบบจำลองเยื่อบุดวงตาในการทดสอบการระคายเคืองต่อดวงตา (OECD TG 492) เป็นต้น วิธีเหล่านี้ต้องอาศัยแบบจำลองของเนื้อเยื่อเป้าหมายที่สร้างขึ้นจากเซลล์หรือเนื้อเยื่อของมนุษย์ ทำให้มีลักษณะโครงสร้างเป็นแบบสามมิติ (3D) ที่มีความคล้ายคลึงกับเนื้อเยื่อจริงทั้งทางด้านกายภาพและการตอบสนองทางชีวภาพ
สวทช. ได้มีการนำเนื้อเยื่อจำลองของผิวหนังชั้นนอก (Reconstructed human Epidermis; RhE) ที่ผ่านการยอมรับโดย ECVAM เปิดให้บริการทดสอบผลิตภัณฑ์ตั้งแต่ปี พ.ศ. 2553 ซึ่งถือเป็นแห่งแรกในประเทศไทย ด้วยเล็งเห็นว่าวิธีทางเลือกที่ทดแทนการใช้สัตว์ทดลองนี้เป็นสิ่งที่ท้าทาย และจะเป็นประโยชน์ต่อประเทศไทยในอนาคต
การทดสอบเครื่องสำอาง: วิธีทางเลือกทดแทนการใช้สัตว์ทดลองนี้เริ่มมีความสำคัญสำหรับการทดสอบผลิตภัณฑ์บางประเภทที่ใช้ภายนอกหรือผลิตภัณฑ์ที่สัมผัสกับผิวหนัง โดยในสหภาพยุโรปได้ยกเลิกการทดสอบผลิตภัณฑ์เครื่องสำอางในสัตว์ทดลองมาตั้งแต่ ปี พ.ศ. 2556 (ค.ศ. 2013) ตามข้อตกลงการค้าระหว่างประเทศของกลุ่มประเทศในสหภาพยุโรป ซึ่งทำให้เครื่องสำอางที่ผ่านการทดสอบในสัตว์ทดลองจะไม่สามารถนำเข้ามาขายในสหภาพยุโรปได้ ในช่วงระยะเวลาดังกล่าว ประเทศไทยเองก็ได้มีการเตรียมความพร้อมในการกำหนดแนวทางการทดสอบผลิตภัณฑ์เครื่องสำอางให้สอดคล้องกับบทบัญญัติเครื่องสำอางแห่งอาเซียน (ASEAN Cosmetics Directive) โดยส่วนหนึ่งกำหนดให้มีการประเมินความปลอดภัยต่อสุขภาพมนุษย์ในการใช้ผลิตภัณฑ์เครื่องสำอางที่สอดคล้องกับมาตรฐานสากล
ในปี พ.ศ. 2559 สวทช. โดยห้องปฏิบัติการความปลอดภัยทางนาโนเทคโนโลยี ศูนย์นาโนเทคโนโลยีแห่งชาติ (TBES ในปัจจุบัน) ได้มีการจัดงาน “ความร่วมมือการทดสอบความปลอดภัยของยาและเครื่องสำอางโดยลดการใช้สัตว์ทดลอง” ภายใต้ความร่วมมือกับศูนย์ความเป็นเลิศด้านชีววิทยาศาสตร์ (องค์การมหาชน) สถาบันวิจัยวิทยาศาสตร์และเทคโนโลยีแห่งประเทศไทย (วว.) โดย สวทช. ได้อำนวยความสะดวกด้านสถานที่และทีมนักวิจัยที่เชี่ยวชาญ ร่วมกับนักวิทยาศาสตร์จาก EpiSkin Academy ประเทศฝรั่งเศส ในการจัด workshop วิธีทดสอบตาม OECD test guidelines โดยใช้เนื้อเยื่อสามมิติ ให้กับหน่วยงานภาครัฐหลายแห่ง



ที่มา:
The 7th National Conference in Toxicology 2016 (NCT 7) Symposium 7 (SYM.70)
https://ec.europa.eu/growth/sectors/cosmetics/animal-testing_en
The 1st Thailand Meeting on Alternatives to Animal Testing: Part I “New Paradigm and Alternative Methods in Skin Irritation Testing”